БІРЛІК СЕКТОРЫНДА ИНЖЕНЕРЛІК ИНФРАҚҰРЫЛЫМДЫ ДАМЫТУ ЖОБАЛАРЫ ІСКЕ АСУДА. Бүгін Түркістан қаласының әкімі Әзімбек Пазылбекұлы халықпен көшпелі кездесуін Бірлік секторының тұрғындарымен...
Read more«ДЕНДРОСАЯБАҚТА» КҮЗГІ АҒАШ ОТЫРҒЫЗУ АКЦИЯСЫ ӨТТІ. Түркістан қаласында экологиялық мәдениетті дамыту және қаланы көгалдандыру мақсатында «Дендросаябақта» күзгі ағаш отырғызу акциясы...
Read more"Серт" шағын жинақты жалпы білім беретін мектеп КММ-де 2025 жылдың 29-30 қазан күндері 5-11 сынып оқушылары арасында жалпы білім беретін...
Read more«ХАЛЫҚ ЗАҢГЕРІ» РЕСПУБЛИКАЛЫҚ АКЦИЯСЫ ӨТТІ. Қазақстан Республикасы Президенті Әкімшілігінің тапсырмасына сәйкес, Түркістан қаласы әкімдігі мен прокуратура органдарының ұйымдастыруымен бүгін Түркістан...
Read moreАДАЛ АЗАМАТ - ЕЛ БОЛАШАҒЫ. Т.Айтжанов атындағы жалпы білім беретін мектептің инклюзивті білім беру орталығының ұйымдастыруымен, 30 қазан күні ерекше...
Read more2025 жылдың 30 қазан күні "М.Балақаев атындағы шағын жинақты жалпы білім беретін мектеп" КММ-де педагогикалық кеңес өткізілді. Педагогикалық кеңестің бастау...
Read moreКЕШЕНДІ ЕМДЕУ АРҚЫЛЫ ТӘУЕЛДІЛІКТЕН АРЫЛҒАН НАУҚАСТАРДА ОҢ НӘТИЖЕ КӨП. Түркістан облыстық Психикалық денсаулық орталығындағы кешенді емдеу арқылы тәуелділіктен арылған науқастар...
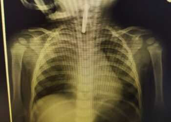
Read moreТүркістан облыстық балалар ауруханасының дәрігерлері 1 жасар баланың өмірін құтқарып қалды. Түркістан облыстық балалар ауруханасының дәрігерлері шеге жұтып қойған 1...
Read moreЖалпы білім беретін пәндер бойынша республикалық олимпиаданың мектепішілік кезеңі өтті. 2025 жылдың 29 қазан күні мектеп базасында 5-11 сынып оқушылары...
Read more"Әйтеке би атындағы жалпы білім беретін мектеп" КММ де " «Алтын күз» мерекелік іс-шарасын даярлық А, даярлық Ә, даярлық Б үш...
Read more| Пн | Вт | Ср | Чт | Пт | Сб | Вс |
|---|---|---|---|---|---|---|
| 1 | 2 | 3 | 4 | 5 | ||
| 6 | 7 | 8 | 9 | 10 | 11 | 12 |
| 13 | 14 | 15 | 16 | 17 | 18 | 19 |
| 20 | 21 | 22 | 23 | 24 | 25 | 26 |
| 27 | 28 | 29 | 30 | |||
Сайт әкімшілігі материалды
көшіріп басу кезінде elqorgany.kz
сайтына тікелей гиперсілтеме
көрсетуді талап етеді